案例速递 | 我院超声科联合肿瘤科成功开展首例超声引导下肺穿刺活检!
近日,我院超声科联合肿瘤科
为一位85岁高龄患者
成功完成我院首例超声引导下肺穿刺活检
案例回放
85岁高龄患者
创伤小且相对安全是重点
近日,一位85岁的患者陈老太因反复咳嗽月余来我院就诊。经CT及头颅MRI检查提示右肺上叶占位,考虑右肺癌伴多发转移,已无根治性手术指征。为明确病理进行后续治疗,将患者收住于我院肿瘤科。考虑到该患者高龄,肿块贴近胸膜,为明确病理需选择创伤小且相对安全的检查,因此建议患者行超声引导下肺穿刺活检术。术前,肿瘤科行超声科会诊,进行了详实的术前讨论。
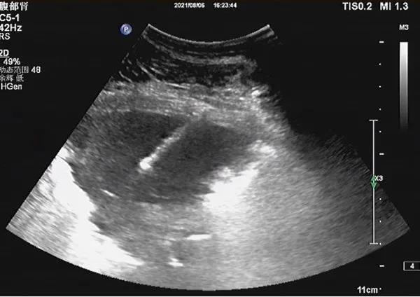
8月6日下午,陈老太在超声诊室行超声引导下行肺穿刺活检术,术前超声提示右上肺可见范围约76*42mm低回声区,边界清,形态不规则,CDFI可见短条状血流信号。超声科朱昊主任、谈卫杰主任在行超声扫查后,选取了合适的进针路径,于右腋中线进行超声引导,利用全自动活检枪成功取出一条长约33mm的组织,穿刺成功!

医生解说
安全、准确、微创
超声介入已从诊断走向治疗
“本手术操作时间短,创伤小,费用低,术中无痛苦,术后即可下床活动。”朱昊主任介绍,肺组织是含气器官,早期肺部超声评估有局限性,多采用CT引导穿刺,治疗效果较好。随超声技术的不断成熟,超声已经从单纯诊断走向治疗,超声介入已经成为安全、准确、微创的介入诊疗技术,原来的许多禁区一再被打破,只要超声医师的“火眼金睛”能识别,超声介入就能“无孔不入”!
知道多一点
介入性超声技术
介入性超声技术是现代超声医学中一个新兴学科,具有一系列优势:
1】手术过程中全程实时监控,对穿刺过程中进针、针道、取材部位全程可见;
2】取材准确性好,超声引导下穿刺活检可根据需要选择不同粗细的穿刺针,反复多次取材,穿刺活检所得组织条,不仅满足了病理学诊断要求,也可供免疫组化以及电镜检查的要求,更能满足基因检查的需要;
3】操作方便、快捷,对于熟练的掌握超声介入技术的超声医生团队来讲,快的能在几分钟内完成操作;
4】安全性好,由于全程实时监控对穿刺路径上的大血管及重要脏器能实时显示,因此能有效的减少穿刺过程中出血等并发症的发生。
超声引导下穿刺术适用于
1】浆膜腔(胸膜腔、腹膜腔、心包腔)积液或积脓;
2】>5cm单纯肝、肾囊肿伴有临床症状者;
3】胰腺囊肿(以慢性假性囊肿为主,急性胰腺炎产生的假性囊肿应观察6周以上,对迅速增大需抽液减压者);
4】肝脓肿;
5】腹部脓肿;
6】3-5cm(<3cm为佳)肝癌经皮穿刺乙醇治疗;
7】阻塞性黄疸临床需要进行胆管穿刺置管引流者;
8】超声引导下肿瘤的穿刺活检;
9】甲状腺穿刺活检;
10】淋巴结穿刺活检。
- 上一篇:喜报 | 省级中医重点专科+2 2025/12/27
- 下一篇:同心抗疫 | 院领导送慰问:感谢每一个人的付出! 2021/8/19